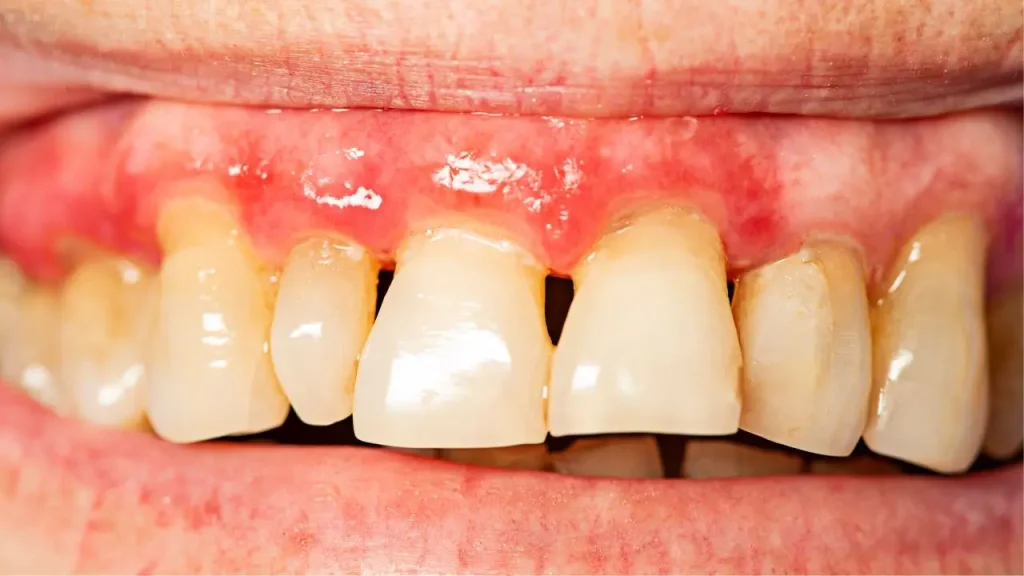
Pelajari cara menjaga kebersihan mulut, cegah gigi berlubang, gusi berdarah dan nafas berbau dengan panduan kesihatan mulut yang berkesan
Pelajari cara menjaga kebersihan mulut, cegah gigi berlubang, gusi berdarah dan nafas berbau dengan panduan kesihatan mulut yang berkesan